OPTOCLÍNICOS
Noticias y conocimientos sobre optometría, oftalmología y entornos afines, por Jesús Pizarroso Pulido.
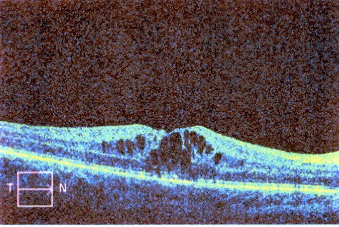
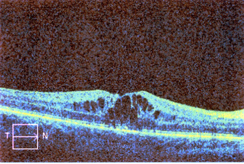
3.-
Δ