RESOLUCIÓN DE CASOS CLÍNICOS DE TOPOGRAFÍA CORNEAL
CASO 1:
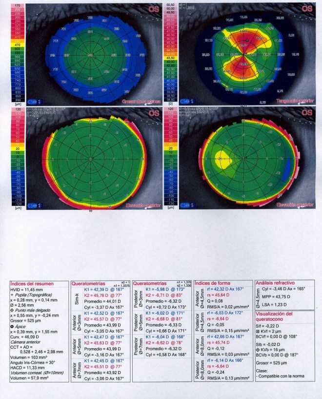
Topografía Sirius.
Se puede apreciar en el mapa de curvaturas un astigmatismo simétrico, muy bien definido en pajarita.
En el SimK se registra un cilindro de -3.37 Dp. Que se aprecia como varía levemente por meridianos.
Los valores de Q a 4.5 mm son 0.08 y a 8 mm -0.12, aquí se evidencia el cambio de geometría de la córnea.
En el mapa de elevación posterior apreciamos una zona que está próxima a +24 micras de elevación, pero este es un mapa de comparación con esfera, así pues no es un valor muy real con esta córnea tan altamente tórica. Sería mejor compararlo con un elipsoide (fitting esferotórico en el Sirius, por ejemplo).
Tenemos un punto más delgado de unas 525 micras cercano a la zona central, que es de 528 micras.
Hay simetrías, no hay deformaciones, ni adelgazamientos lejanos al eje. Es una córnea simplemente astigmática.

CASO 2:
Topografía Orbscan.
Se aprecia una clara asimetría vertical en el mapa tangencial. Zonas inferiores de 53 dp de curvatura frente a áreas contrarias de aproximadamente 40 dp de curvatura.
La irregularidad en la zona de 3 mm es de +/- 4 dp que aumenta a +/- 5 dp en la zona de 5 mm.
SimK da un astigmatismo de 5 dp.
La zona más delgada (421 micras) está lejos del centro (coordenadas 0.8/-0.5).
El valor del espesor más delgado, siendo esta una córnea no operada por ningún método, es muy delgado.
El mapa de elevación anterior (Elevation Ellipse): la zona más elevada coincide con la zona más delgada. La elevación está en unas 40 micras. La cara posterior está en las 75 micras y la diferencia entre la zona más elevada y la más deprimida supera las 100 micras.
Se trata de un queratocono.

CASO 3:
Topografía Sirius y seguimiento y diferencial en Pentacam.
Caso de una queratoplastia a la que se le han ido retirando las suturas progresivamente y así modulando el astigmatismo residual.
En la topografía Sirius (imagen primera) podemos apreciar en el mapa de curvaturas unas zonas muy incurvadas, correspondientes al borde del injerto y áreas nasales con mucha curvatura y temporales con menor curva. Se aprecia como las suturas tiran a superior y nasal.
El grosor de la córnea está en valores normales, engrosándose hacia la periferia.
El mapa de elevación anterior y posterior prácticamente coinciden en el diseño.
SimK da un cilindro de -8.32 dp.

Mapa Pentacam con cuatro topografías de diferentes fechas, en cada ocasión se han ido retirando diversas suturas, con lo que las zonas de aplanación e incurvamiento han ido variando. El mapa de diferencia nos compara la última con la primera y vemos la transformación que se ha ido logrando, el aplanamiento que se ha ido consiguiendo en las zonas nasales.

CASO 4:
Topografía Orbscan, mapa de curvatura tangencial con valores queratométricos.
Apreciamos una asimetría vertical, la irregularidad a los 3 mm es de +/- 1.4 y a los 5 mm es de +/-1.7 (elevada en ambas zonas). La zona más delgada está situada en áreas casi centrales.
Se trataba de una deformación producida por uso de lentes de contacto blandas.

CASO 5:
Topografía Pentacam, imagen de Scheimpflug, reconstrucción 3D, mapa de curvatura sagital anterior.
Ojo intervenido de cirugía refractiva láser, que presenta una leve evolución astigmática, (observad la asimetría nasal/temporal y las diferencias de curvaturas en la pajarita) que está volviéndose asimétrica. Sin disminución de espesor corneal.

CASO 6:
Topografías Orbscan.
En el mapa de curvaturas tangencial observamos una zona central de elevado incurvamiento (más de 60 dp de curvatura), coincide con la máxima elevación en el mapa de elevación (elevation ellipse) en ese mismo área; unas 70 micras de elevación y en cara posterior (reflejado no en elevation ellipse sino en elevation best fit sphere “BFS”, como podéis ver arriba, debajo de la hora) está entorno a +85 micras la zona más elevada y -90 micras la zona más deprimida.
La zona más delgada es de unas 480 micras. Un astigmatismo SimK de -12.7 dp, con unas irregularidades de 11.8 a 3 mm y de 10.8 a 5 mm. Totalmente patológico.
Se trata de un queratocono central –inferior.
La falta de datos arriba y abajo en el mapa sagital es debido a la limitación de los anillos de Plácido en las zonas periféricas del Orbscan, con este tipo de curvaturas, sin embargo las lámparas de hendidura de Orbscan sí llegan a esas áreas y por eso el resto de los mapas sí obtienen datos.

CASO 7:
Topografía Orbscan.
Caso completamente de libro con un astigmatismo simétrico de unas 2.2 dioptrías, con irregularidades dentro de márgenes aceptables, sin asimetrías ni valores extraños.
La falta de datos en zonas inferiores y superiores se debe al reflejo de pestañas y la limitación de los anillos de Plácido en Orbscan para ciertos ojos.

CASO 8:
Topógrafo Orbscan: es una de sus pantallas de ayuda en los menús, que nos ofrece los datos de la “reference surface fit”, en los que podemos comprobar los valores de asfericidad, etc. La primera imagen se trata de un ojo intervenido con cirugía lasik de miopía y astigmatismo, (Q = 0.553) y la segunda imagen corresponde a un ojo no operado, con valor de Q = -0.01 .
Como habréis visto en otros casos con los otros topógrafos, los valores de Q se muestran directamente en la impresión directamente de los cuatro mapas (opción “quad maps”) básicos.
CASO 9:
Topografía Pentacam de la misma caso en tres modos, el primero “refractivo”, el segundo en “topométrico” y el tercero es un análisis del espesor corneal.
Podemos observar en el análisis refractivo (primera imagen) como en el mapa arriba izquierda tenemos representación sagital escala en 0.50 dp por paso y relativa. Una pajarita de unas 4.2 dp cilíndricas. El mapa de abajo corresponde al mapa paquimétrico y los dos de la derecha a elevaciones anterior y posterior. Sin índices fuera de lo normal.
En el análisis topométrico (segunda imagen) como mapas interesantes vemos arriba a la izquierda un mapa de curvatura sagital, en escala absoluta (tenemos toda la gama de colores empleada). Debajo tenemos un mapa sagital de la cara posterior.
El tercer mapa (tercera imagen) es uno dedicado al perfil espacial del grosor de la córnea analizada. Es decir, dentro de unos valores de referencias y márgenes normales, dónde se sitúa la córnea que hemos analizado en micras de grosor, según el diámetro en qué nos encontremos de la córnea hasta el máximo analizado (casi 10 mm); desde la posición más delgada hasta la más gruesa.



CASO 10:
Topografía iTrace.
Identificamos cuatro mapas, arriba a la izquierda el mapa axial, arriba a la derecha el mapa de “local ROC” (tangencial), abajo a la izquierda el mapa de elevación anterior y abajo a la derecha el mapa refractivo.
Por la forma que tiene podéis apreciar que es una córnea intervenida de cirugía refractiva láser miópico astigmática, con un ligero descentramiento. Observad a la derecha los datos de queratometrías, Q, e (excentricidad), índice de irregularidad a 6 mm (1.24).

CASO 11:
Topografía Pentacam.
Ojo intervenido de cirugía refractiva láser miópico, con cierta graduación residual, miópica astigmática. Que sin embargo se encuentra correctamente centrada. La Q a 6 mm es de 0.05 pero más allá queda en 1.21 (se incurva mucho), de lo que se le deduce una fuerte aberración esférica.

CASO 12:
Topografía Orbscan.
Misma toma representada en curvatura tangencial, en curvatura axial, y en curvatura axial pero sin anillos de Plácido, sólo con las lámpara de hendidura; en divisiones de 0.25 dp y autoescala (empleando toda la banda de colores).
Como podéis apreciar, parecen tres topografías diferentes, y sin embargo se trata del mismo ojo (intervenido de cirugía refractiva láser miópica) del mismo paciente. Veis como la escala tangencial ofrece mucho más detalle de las formas en la periferia. Asímismo las potencias cambian radicalmente debido al método de representación. Y por supuesto, cuando no empleamos anillos de Plácido, Orbscan pierde referencias y los datos se vuelven un poco “dudosos”, aunque nos da una idea de la forma si por ejemplo tenemos córnea muy curvas que los anillos no pueden leer bien.
CASO 13:
Topografía Sirius, del mismo caso de antes. Podemos apreciar primero que Sirius llega donde Orbscan no llega, pero que las mediciones de SimK, etc, no distan tanto. Orbscan está muy influido por la lágrima, Sirius necesita un enfoque más preciso. La paquimetría del Orbscan de esta unidad en córneas estrechas sobreestima, y en córneas gruesas subestima. La unidad de Sirius empleada tiene resultados equivalentes a un paquímetro ultrasónico o a un microscopio confocal.
Veis que el software del Sirius, abajo a la derecha, ya nos indica que es una córnea tratada con cirugía.

CASO 14:
Pentacam, imagen de Scheimpflug horizontal.

CASO 15:
Topografía Sirius.
Apreciamos un astigmatismo con bastante simetría vertical y horizontal. Con prácticamente nulas elevaciones anteriores y posteriores. Las imágenes en verde nos indican que con respecto a la superficie de referencia “0” que se sitúa en verde también, indican que la forma de esa córnea está muy próxima a la esfera de referencia.

CASO 16:
Topografía Pentacam.
Paciente intervenido con anillos instraestromales para la corrección de astigmatismo irregular provocado por un queratocono.
El mapa “B”, situado en el centro, y más antiguo, (42.6 D x 51.5 D) denota un astigmatismo corneal asimétrico, con deformaciones elevadas de potencias superiores a las 51 dioptrías en la zona inferior. Al paciente le fueron implantados anillos para corregir parte de la deformación. Observamos pues en la topografía de la izquierda, mapa “A” el nuevo astigmatismo (44.0 D x 47.7 D), más centrados y de queratometrías más planas en áreas inferiores. El mapa diferencial, situado a la derecha del todo, muestra el efecto sobre las curvaturas obtenido con el tratamiento.

CASO 17:
Topografía iTrace.
Sobre un astigmatismo de 1 dioptría, con cierta asimetría vertical, probablemente producida por efecto presión del párpado. El mapa refractivo denota un poder refractivo muy regular.

CASO 18:
Topografía Pentacam. Mapa comparativo OD/OI.
En el que queda representado el caso de un queratocono bilateral. El paciente porta lentes de contacto, con una agudeza visual de aproximadamente 0.7/0.8 binocular de lejos, desde hace más de 15 años. Si analizamos los datos topográficos podemos observar unas queratometrías disparatadas de puntos de hasta 66 dp de curvatura en el ojo derecho y de 58 dp en el izquierdo. La Q está en valores altísimos (OD -1.39 y OI -1.33). Se puede leer también un espesor corneal en las zonas más delgadas de 259/295 micras OD/OI.

CASO 19:
Ejemplo de topografía Cassini con parámetros y aberraciones corneales de cara anterior.

CASO 20:
Topografía Sirius de un ojo postlasik hipermetrópico astigmático, la segunda imagen es de la diferencia pre y post en el Sirius y la tercera imagen es del postop con Orbscan.



CASO 21:
Topografía Sirius de postcirugía lasik hipermetrópica.

CASO 22:
Topografía Pentacam de principio de degeneración marginal pellucida.

¡Espero que este curso os haya sido de utilidad!
Jesús Pizarroso Pulido